‹ › ×

    Le scanner

    Laurent SAFFROY

    brand-logo Accueil
    • Echographies
      • Les échographies abdominales
      • Les échographies cardiaques
      • Les autres échographies
    • Radiographies
    • Scanner

    Les scanners abdominaux:

     

    Le scanner n'est pas l'examen le plus utilisé en médecine vétérinaire pour explorer un abdomen: son prix est prohibitif alors que l'échographie, moins honereuse, apporte déjà beaucoup d'information ...

    Scanner normal d'abdomen

    Scanner normal d'abdomen: produit de contraste au niveau de la veine porte pour une recherche de shunt

    SCANNER ABDOMINAL INTEGRAL

    Les scanners thoraciques:

     

    Cet examen est très utile en complément d'une radiographie. Il permet aussi de visualiser des lésions là l'echographie ne peut rien faire, comme par exemple  une recherche de lésion intra-pulmonaire.

    L'examen va permet d'une part d'apprecier la structure interne de la lésion (et d'en determiner la nature) et d'autre part de la délimiter précisément en vue d'une chirurgie thoracique.

    Scanner thoracique normal

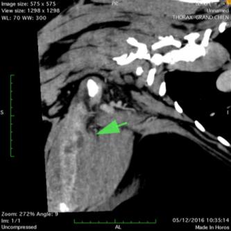
    Scanners thoraciques anormaux

    Les scanners du rachis et de l'encephale:

    Scanner Encephale normal

    Scanners rachis normaux

    Tumeur de Encephale

    Compressions medullaires

    Les scanners du nez

     

    Le scanner est l'examen de choix pour une exploration nasale complète... La cavité nasale de nos carnivore est formée de nombreux plis de muqueuses, appelés volutes, qui vont permettre un odorat très développé. Les lésions ne sont pas rareset se repartissent de la manière suivnte:

    • la présence de corps étrangers type épilets mais pas que ...
    • la présence d'un infection bacterienne, le plus souvent d'origine dentaire ...
    • la présence d'un nodule tumoral
    • une infection mycosique

    La rhinoscopie est l'examen qui va compléter le scanner: il consiste en l'exploration de la cavité nasale avec un petit endoscope rigide. La progression est difficile du fait d el aprésence des volutes, et  lexamen se termine souvent par des saignements abondants.

    Scanner Normaux

    Scanners nasaux anormaux

    Les AUTRES SCANNER

     

    Le scanner est utilisé dans les bilans d'extension de tumeurs mais pas que ... l'examen sert aussi à rechercher n'importe quel type de lésion dans les tissus mous et les articulations.

    Ancienne fracture tuberosité tibiale
    Fibrosarcome
    Maladie parodontale
    Maladie parodontale
    Masse infiltrante dans une cuisse
    Otite moyenne: bulle tympanique opaque

    🐈 🐩 🐁  Copyright 2017