‹ › ×
    Accueil
    • Clinique
      • Visite
      • Accès
      • Contact
    • Services
      • Alimentation
      • Cardiologie
      • Chronovet: vente en ligne
      • Consultations générales
      • Fibroscopie
      • Hospitalisation
      • Imagerie
      • Laboratoire
      • Physiothérapie et rééducation: IMOOVE
      • chirurgies
      • Equipements et compétences
      • Les chirurgies cutanées
      • Les chirurgies des oreilles
      • Les chirurgies cardio-repiratoires
      • Les chirurgies digestives
      • Les chirurgies des voies urinaires
      • Chirurgies de convenance
      • Les chirurgies vasculaires
      • Infos santé
      • Atteintes respiratoires hautes
      • Nettoyage des oreilles
      • Hygiène buccale
    • Vétérinaires

    Les principales atteintes respiratoires hautes

    Les carnivores sont assez peu fragiles aux variations de températures, ils ne présentent que très rarement des infections des voies respiratoires hautes telles que des rhinites, pharyngites ou laryngites.
    Il existe toutefois quelques maladies bien spécifiques telle que la toux de chenil chez les chiens ("Bordetella" est une bactérie très contagieuse qui peut être transmise dans certains cas aux chats) et le Syndrome Coryza chez le chat: ce syndrome  regroupe plusieurs éléments infectieux pathogènes: 2 virus dont un herpesvirus (qui infecte prioritairement le nez, la bouche voire les yeux), un calicivirus (qui infecte la bouche: gencives et langue - cf photo-) et enfin une bactérie "chlamydia" (qui infecte prioritairement les yeux).
    En cas d'atteinte inflammatoire des voies hautes et en dehors de toute suspicion d'une des deux maladies précédemment citées, il est impératif de faire une exploration sous anesthésie par radio, endoscopie voire scanner des cavités nasales et de la gorge: la présence d'un corps étranger, d'une masse est à envisager ...
    Grave coryza: calicivirose Grave coryza: calicivirose
    Ailes du nez:
    limite l'entrée de corps étrangers, attention chez certaines races (bouledogues) de verifier l'absence de sténose: les orifices nasaux sont trops resserés.
    La cavité nasale:
    En jaune: les cornets nasaux très développés chez le chien et le chat:  volutes de muqueuses servant à l'odorat
     
     
    Cornets nasaux en image:
    image prise à l'entrée de la narine dans le méat nasal ventral
     
     
     
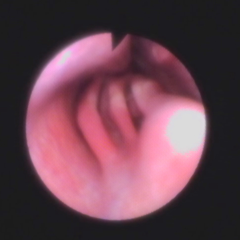
    Carrefour du pharynx:
    Communication entre le nez, la bouche, l'oesophage et le larynx: zone à risque chez certaines races (type bouledogue) où le voile du palais est aspiré par le larynx lors de l'inspiration (il arrive que le voile obstrue ce dernier).

    Le syndrome Brachycephale: Voile du palais

    Cette affection touche principalement les races de types molossoïdes: Carlin, bouledogues ... mais d'autres races peuvent aussi être concernées: Sharpei, Boston terrier, Lhassa Apso, Shih tzu, pékinois, Cavaliers King-charles, Yorkshire ...
    La conformation très ecrasée de ces races raccourcie de manière considérable la distance qui sépare le nez du larynx (entrée de la trachée et des voies respiratoires strictes).
    La sténose des narines correspond à un manque d'ouverture des orifices nasaux, cette affection rend difficile l'entrée de l'aire inspiré. Ce phénomène crée une dépression dans la gorge et  l'aspiration du voile du palais et de tous les tissus qui constituent la gorge vers le larynx: le voile du palais est une membrane qui prolonge le palais et évite que les aliments s'achemine vers les narines.
    Une correction chirurgicale est obligatoire lors d'anomalie et elle doit se faire le plus tôt possible ...
    Carousel Link
     
    ‹ ›

      Les complications de l'élongation: Eversions des diverticules laryngés, les collapus laryngés,  le collapsus trachéal... 

      L'eversion des diverticules laryngés:
      Une complication possible des pathologies précédentes est l'éversion des ventricules laryngés: les ventricules sont deux petites masses latérales positionnées en arrière des cartilages aryténoïdiens. La gêne respiratoire au niveau du nez et/ou du larynx provoque leur déhiscence, ce qui aggrave encore plus la gêne du passage de l'air à l'inspiration.
      La chirurgie est obligatoire et ne présente pas de risque mis à part une toux possible pendant quelques jours après leur exérèse.
      Carousel Link
       
      ‹ ›
        Les collapsus laryngés:
        C'est une deformation des cartilages du larynx qui réduit son orifice et perturbe l'entrée de l'air dans la trachée. L'animal présente une dyspnée inspiratoire mais dans les formes graves la dyspnée est inspiratoire et expiratoire. Une forte inflammation est présente et engendre souvent de la toux à l'ingestion d'eau et d'aliment et des risques de fausse déglutition.
         
        Carousel Link
         
        ‹ ›
          La paralysie laryngée:
          Cette affection touche principalement les chiens âgés de grande taille (11 ans en moyenne) et peut faire partie d'une polyneuropathie (vérifier si d'autres troubles neurologiques existent). Elle a pour conséquence une fermeture plus ou moins partielle de l'entrée du larynx (en fonction de l'atteinte unie ou bilatérale). Attention, le diagnostic doit être sûr avant d'envisager une chirurgie correctrice: ne pas confondre avec un collapsus laryngé, avec un sialocèle ou encore l'éversion des ventricules laryngés.
          La chirurgie correctrice consiste à latéraliser un des deux cartilages aryténoïdiens. Attention, il y a 20% d'échec et il est déconseillé d'opérer les chiens de race brachycéphale car le niveau d'échec est encore plus élevé.Une trachéotomie permanente peut alors être décidée...
          Le collapsus trachéal:
          Cette affection touche principalement les races miniatures, elle correspond à un rétrécissement du diamètre de la trachée dû à une chondrodystrophie ou une dégénérescence du cartilage des anneaux trachéaux  sur l'ensemble du trajet cervical et thoracique.
          Les bruits respiratoires correspondant à cette pathologie sont caractéristiques: ils sont inspiratoires (écrasement des anneaux  cervicaux) et expiratoires (écrasements des anneaux thoraciques). La toux est forte et sèche.
          Il est possible de grader cette affection...
           
          Traitement: Il existe plusieurs solutions thérapeutiques médicales lors  des deux premiers grades, ils permettent une diminution significative de la toux.
          En cas d'échec ou en présence d'un grade 3 ou 4,  il faudra  envisager la pose d'un stent trachéal. Il permettra de maintenir ouverte la trachée durant tout le cycle respiratoire. L'implant est bien toléré et donne des résultats dès sa pose ... mais attention à son coût ...
          Stent a implanter dans la trachée

          La particularité du Reverse Sneezing ou Reniflement inversé ...

          Ce phénomène est particulier et fait souvent peur ... Une vidéo est préférable à un long discours: il s'agit de bruits respiratoires que le  chien fait en inspirant (reniflement), cela se traduit par des bruits de cochon et l'impression que l'animal va s'étouffer. Pas d'inquietude ... il s'agit de spasmes du larynx declenché le plus souvent par une émotion et parfois suite à un irritation au niveau de la gorge ... Il faut retenir que certains chiens seront sujet à ce phénomène et d'autres jamais...

          Vet'Ouest

          Copyright VetOuest - Tous droits réservés - Mentions Légales - Contact

          Crédits photos : L.SAFFROY

          LAXOU 54520 - 6, rue Sidney Bechet